Liputan6.com, Jakarta - Seorang wanita tua berusia 86 tahun di Florida mengeluhkan sensasi terbakar di dadanya. Khawatir dengan sensasi ganjil tersebut, wanita tersebut mendatangi dokter meski tak mengalami masalah pernapasan.
Wanita tua itu didiagnosis dengan relfluks asam dan setelah diberi pengobatan, kondisinya membaik. Namun, alangkah terkejutnya wanita itu saat disebutkan kalau paru-parunya berisi minyak.
Advertisement
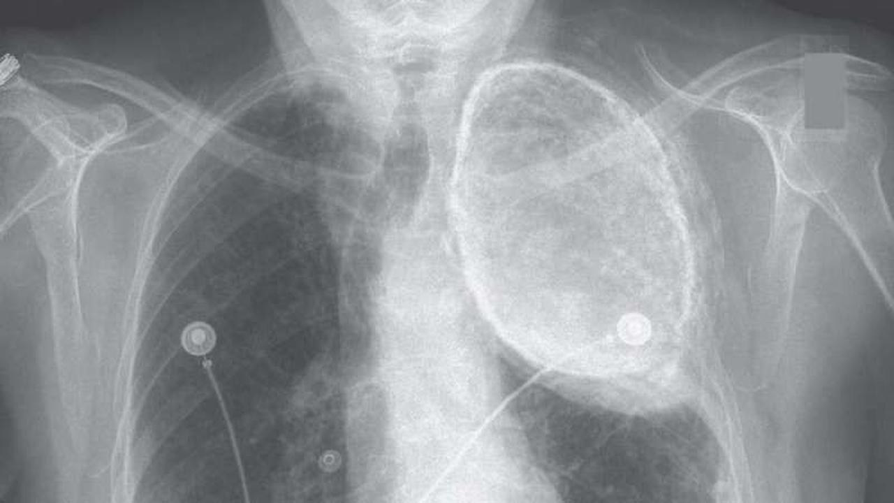
Dari hasil rontgen, terlihat sesuatu yang menghitam di daerah atas paru-paru kirinya. Usut punya usut, ternyata wanita itu pernah menerima pengobatan yang dikenal sebagai oleothorax pada 1950 untuk mengobati tuberkolusis.
Pengobatan kuno tersebut dilakukan dengan menyuntikkan minyak ke dalam pleura (ruang tipis di antara paru-paru). Selama beberapa dekade, pengobatan ilegal itu lazim dipraktekkan di dunia Barat. Minyak yang digunakan pun bervariasi, seperti minyak zaitun, minyak ikan cod, minyak kacang, minyak biji kapas, atau bahkan parafin cair.
"Sayangnya, kita tak bisa mengatakan apa jenis minyak itu hanya dengan melihat hasil rontgen," ujar Abhilash Koratala, asisten profesor kedokteran yang menyelidiki kasus ini.
Lebih lanjut, Koratala menjelaskan pada Iflscience bahwa biasanya pasien kembali ke dokter untuk menyedot dan membuang minyak tersebut. Akan tetapi, beberapa pasien yang merasa gejala tuberkolosisnya mereda atau lupa, memilih untuk tidak kembali.
Diperkirakan, wanita tua itu lupa pernah menjalani pengobatan tersebut pada waktu kecil. Untungnya, selain sensasi dada terbakar, wanita tua itu tidak memiliki komplikasi lain yang disebabkan oleh minyak.
**Ingin berbagi informasi dari dan untuk kita di Citizen6? Caranya bisa dibaca di sini
**Ingin berdiskusi tentang topik-topik menarik lainnya, yuk berbagi di Forum Liputan6
:strip_icc()/kly-media-production/medias/3364380/original/059972500_1612095530-PENGUNGSI_GEMPA_SULBAR_3.jpg)
:strip_icc()/kly-media-production/medias/3074155/original/047876200_1583926231-20200311-SPT-2020-4.jpg)
:strip_icc()/kly-media-production/medias/3311268/original/096069800_1606732858-20201130-Bantuan-Subsidi-Upah-BPJS-Termin-2-Tahap-6-Cair-Pekan-Ini-4.jpg)
:strip_icc()/kly-media-production/medias/5452487/original/036953600_1766402418-chip_e-ktp.jpg)

:strip_icc()/kly-media-production/medias/5446038/original/003387300_1765871568-Lagidiskon__desktop-mobile__356x469_-_Button_Share.png)
:strip_icc()/kly-media-production/medias/5436514/original/029918400_1765176856-pexels-ken-tomita-127057-389818.jpg)
:strip_icc()/kly-media-production/medias/1429293/original/037383000_1481114577-20161207--Laptop-Acer-Seharga-20-Juta-Jakarta-Angga-Yuniar-01.jpg)
:strip_icc()/kly-media-production/medias/5436096/original/000714800_1765162370-pexels-photo-1740919.webp)
:strip_icc()/kly-media-production/medias/4800209/original/049531900_1712900090-shutterstock_2286683503.jpg)
:strip_icc()/kly-media-production/medias/5442113/original/056839600_1765528039-Ilustrasi_smartphone__tablet__dan_laptop.png)
:strip_icc()/kly-media-production/medias/5441514/original/073297500_1765510798-Depositphotos_547538726_L.jpg)
:strip_icc()/kly-media-production/medias/5429431/original/070225500_1764586417-pexels-yankrukov-9072212.jpg)
:strip_icc()/kly-media-production/medias/5434294/original/022663100_1764921813-Depositphotos_209735730_L.jpg)
:strip_icc()/kly-media-production/medias/5424660/original/045643900_1764150556-IMG-20251126-WA0006.jpg)
:strip_icc()/kly-media-production/medias/5429377/original/065579200_1764583822-pexels-shkrabaanthony-5264912.jpg)
:strip_icc()/kly-media-production/medias/5428662/original/071057300_1764557835-Depositphotos_170438662_L.jpg)
:strip_icc()/kly-media-production/medias/5426355/original/026522800_1764302989-Depositphotos_189719384_L.jpg)