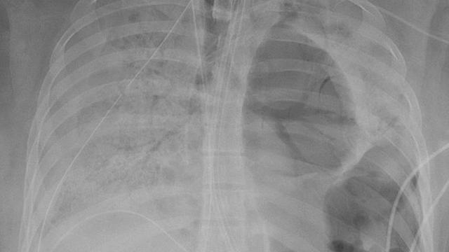
Liputan6.com, Jakarta - Sebuah rumah sakit di Amerika Serikat telah merilis foto mengerikan paru-paru wanita muda dan sehat yang dirusak oleh virus Corona. Pasein yang usianya dua puluhan itu memiliki organ vital yang diambil dalam operasi transplantasi paru-paru yang langka setelah nyawanya terancam akibat virus tersebut.
Gambar yang dirilis oleh Northwestern Medicine itu menunjukkan bagaimana virus Corona merusak paru-parunya. Sementara transplantasi ganda itu sendiri dilakukan di Northwestern Memorial Hospital di Chicago.
Advertisement
Para petugas medis di rumah sakit tersebut sempat bertanya-tanya bagaimana seorang wanita muda yang tampaknya sehat, menjadi begitu sakit karena virus Corona. Padahal biasanya virus tersebut rentan menyerang orang lanjut usia.
Saksikan Video Pilihan di Bawah Ini:
AS meminta warganya menangguhkan perjalanan yang tak mendesak ke China, dan baru saja mengevakuasi 200 lebih warganya dari Wuhan, pusat penyebaran virus korona yang kini telah meluas. Pemerintah AS juga mendesak China membuka diri bagi kerjasama deng...
Pasien paling sakit di rumah sakit itu
Saat dilarikan ke rumah sakit, mereka menggambarkan wanita itu sebagai 'pasien paling sakit di rumah sakit.' Menurut pihak rumah sakit, itu dianggap sebagai transplantasi ganda pertama dari jenisnya di AS.
Ahli bedah merilis rincian kasus untuk menunjukkan kepada petugas medis lainnya di seluruh dunia bahwa transplantasi paru-paru bisa menjadi pilihan yang layak untuk beberapa pasien virus Corona yang sakit parah. Pasien yang digambarkan sebagai wanita muda Hispanik berusia dua puluhan itu, pulih setelah prosedur transplantasi.
Advertisement
Bertahan hidup berkat alat bantu pernapasan
Rumah sakit mengatakan bahwa dia telah menghabiskan enam minggu dengan mesin ventilator serta dalam perawatan intensif. Pasien juga tetap hidup berkat Extracorporeal membrane oxygenation, (ECMO) yang juga dikenal sebagai penopang kehidupan ekstrakorporeal yang berfungsi sebagai penopang bagi jantung dan paru-paru.
Tetapi pada awal bulan ini, paru-paru pasien itu menjadi sangat rusak sehingga diputuskan bahwa transplantasi adalah satu-satunya pilihan.
"Transplantasi paru-paru adalah satu-satunya kesempatannya untuk bertahan hidup," kata Kepala operasi toraks dan direktur bedah dari Program Transplantasi Paru-Paru Kedokteran Barat Laut, Ankit Bharat seperti dikutip dari Mirror.
"Berkali-kali, siang dan malam, tim kami harus bereaksi cepat untuk membantunya bernapas dan mendukung organ-organ lainnya untuk memutuskan apakah mereka cukup sehat untuk mendukung transplantasi jika ada kesempatan."
Negatif Corona setelah transplantasi
Untungnya setelah transplantasi dilakukan, tes virus Corona wanita itu kembali negatif. Ini menjadi tanda pertama bahwa tubuhnya mungkin telah membersihkan virus tersebut dan menjadi memenuhi syarat untuk transplantasi yang menyelamatkan jiwa.
Dr Bharat mengatakan berkat penggunaan ECMO, pasien memiliki waktu untuk membersihkan virus dari tubuhnya. Sementara tubuhnya membersihkan virus, paru-parunya rusak tidak bisa diperbaiki.
Advertisement
Anak muda bisa terinfeksi Corona
Dari data global, dipastikan bahwa orang lanjut usia dan yang memiliki penyakit tertentu rentan terhadap infeksi virus Corona. Meski demikian, pihak berwenang di seluruh dunia telah memperingatkan anak muda untuk tidak berpuas diri, karena beberapa telah jatuh sakit parah dan bahkan meninggal karena virus itu.
Bisa pulih setelah transplantasi
Northwestern Medicine mengatakan sebagian besar pasien yang memenuhi syarat untuk transplantasi paru-paru bergantung pada oksigen untuk menjalani hari itu. Mereka dapat menderita fibrosis paru, fibrosis kistik, penyakit paru obstruktif kronik (PPOK), penyakit paru lanjut lainnya, dan banyak yang harus didukung dengan ventilator atau sedang ECMO.
"Setelah transplantasi paru-paru, lebih dari 85-90% pasien bertahan hidup satu tahun, dan melaporkan kemandirian total dalam kehidupan sehari-hari," pungkas pihak rumah sakit.
Advertisement
:strip_icc()/kly-media-production/medias/5440200/original/086699600_1765425499-Cek_Fakta_Tidak_Benar_Ini_Link_Pendaftaran_-_2025-12-11T103730.975.jpg)
:strip_icc()/kly-media-production/medias/2724518/original/041316200_1549706613-20190209-Petani-Kerambah-Jaring-Apung-Waduk-Jatiluhur-Imam3.jpg)
:strip_icc()/kly-media-production/medias/5409376/original/019158900_1762854150-Kereta_Rel_Listrik-2.jpg)
:strip_icc()/kly-media-production/medias/5450945/original/026930700_1766212333-token_klaim.jpg)
:strip_icc()/kly-media-production/medias/3159965/original/086565100_1592891367-paru_0.jpg)
:strip_icc()/kly-media-production/medias/3159966/original/092010900_1592891367-paru_1.jpg)
:strip_icc()/kly-media-production/medias/3159967/original/096339600_1592891367-paru_2.jpg)
:strip_icc()/kly-media-production/medias/3097069/original/020875100_1586332642-corona_ilustrasi.jpg)
![[Fimela] Virus Corona](https://cdn0-production-images-kly.akamaized.net/26sjNISx_LChmxaU1HwTunwhiOE=/0x159:4695x2805/640x360/filters:quality(75):strip_icc()/kly-media-production/medias/3034162/original/073295700_1580186302-ani-kolleshi-vu-DaZVeny0-unsplash.jpg)
:strip_icc()/kly-media-production/medias/3088599/original/065569300_1585542223-covid-19-4908690_1920.jpg)

:strip_icc()/kly-media-production/medias/5446038/original/003387300_1765871568-Lagidiskon__desktop-mobile__356x469_-_Button_Share.png)
:strip_icc()/kly-media-production/medias/1429293/original/037383000_1481114577-20161207--Laptop-Acer-Seharga-20-Juta-Jakarta-Angga-Yuniar-01.jpg)
:strip_icc()/kly-media-production/medias/5436096/original/000714800_1765162370-pexels-photo-1740919.webp)
:strip_icc()/kly-media-production/medias/4800209/original/049531900_1712900090-shutterstock_2286683503.jpg)
:strip_icc()/kly-media-production/medias/5442113/original/056839600_1765528039-Ilustrasi_smartphone__tablet__dan_laptop.png)
:strip_icc()/kly-media-production/medias/5441514/original/073297500_1765510798-Depositphotos_547538726_L.jpg)
:strip_icc()/kly-media-production/medias/5429431/original/070225500_1764586417-pexels-yankrukov-9072212.jpg)
:strip_icc()/kly-media-production/medias/5434294/original/022663100_1764921813-Depositphotos_209735730_L.jpg)
:strip_icc()/kly-media-production/medias/5424660/original/045643900_1764150556-IMG-20251126-WA0006.jpg)
:strip_icc()/kly-media-production/medias/5429377/original/065579200_1764583822-pexels-shkrabaanthony-5264912.jpg)
:strip_icc()/kly-media-production/medias/5428662/original/071057300_1764557835-Depositphotos_170438662_L.jpg)
:strip_icc()/kly-media-production/medias/5426355/original/026522800_1764302989-Depositphotos_189719384_L.jpg)
:strip_icc()/kly-media-production/medias/5415137/original/055240200_1763361833-pexels-muffinsaurs-1214212.jpg)