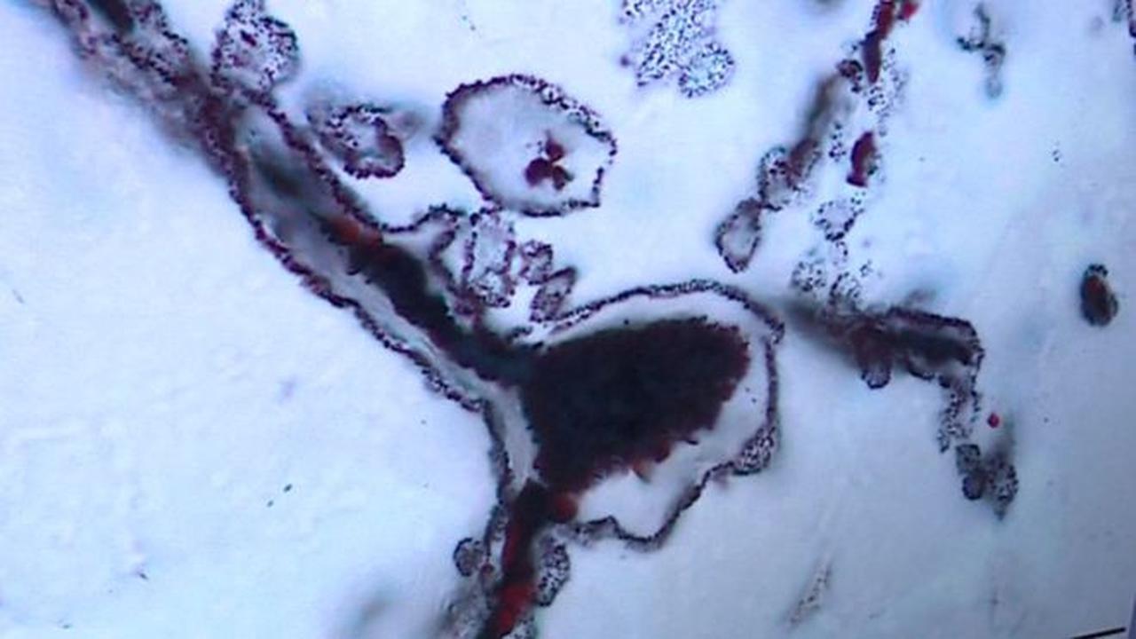
Liputan6.com, London - Ilmuwan Inggris menemukan fosil mikroba yang diyakini tertua di Bumi. Mikrofosil itu terdiri dari filamen dan tabung kecil yang terbentuk oleh bakteri yang hidup setidaknya pada 3.770 juta tahun lalu.
Mikrofosil tersebut tersebut ditemukan di dalam lapisan kuarsa dalam formasi bebatuan di Quebec, Kanada, yang dikenal dengan Nuvvuagittuq Supracrustal Belt (NSB).
Mikroba yang hidup dalam besi itu diyakini berkembang di sistem ventilasi hidrotermal laut dalam, yakni wilayah aktivitas gunung berapi di dasar laut.
Advertisement
Ilmuwan meyakini air panas kaya mineral yang melingkupi ventilasi hidrotermal kemungkinan menjadi habitat di mana bentuk kehidupan awal Bumi berevolusi pada 4,3 miliar tahun lalu.
Seorang anggota tim peneliti dari University College London (UCL), Matthew Fodd, mengatakan bahwa penemuan mereka mendukung ide bahwa kehidupan berasal dari ventilasi dasar laut yang panas, sesaat setelah Bumi terbentuk.
"Penampilan kehidupan di Bumi itu sesuai dengan bukti lain dari penemuan baru-baru ini, yakni sedimen tua berusia 3.700 tahun yang dibentuk mikro-organisme," ujar Fodd.

Untuk memastikan penemuan mereka, para peneliti UCL melihat secara sitematis tabung dan filamen dengan cara yang berbeda.
Hasilnya, ditemukan bahwa struktur yang terbentuk dari oksida besi bernama haematite, memiliki karakteristik pola percabangan yang sama dengan bakteri yang ditemukan di dekat ventilasi hidrotermal saat ini.
Sebagai tambahan, mereka ditemukan bersama dengan mineral seperti grafit, apatit, dan karbonat yang biasanya ditemukan dalam makhluk hidup.
"Struktur terdiri dari mineral yang diperkirakan terbentuk dari pembusukan, dan telah diawetkan dengan baik di seluruh catatan geologi, baik dari awal hingga saat ini," ujar pemimpin peneliti dari Departemen Ilmu Bumi UCL, Dr Dominic Papineau.
"Fakta bahwa kita mengekskavasi salah satu formasi batu tertua menimbulkan kesan bahwa kita telah menemukan bukti langsung dari salah satu bentuk kehidupan tertua di Bumi," jelas dia.
Dikutip dari Independent, Kamis (2/3/2017), para ilmuwan meyakini bahwa penemuan fosil yang dimuat di jurnal Nature itu dapat membantu mencari kehidupan di planet lain, termasuk Mars. Mikroba tersebut tinggal di Bumi pada saat Mars diperkirakan telah memiliki lautan atau danau cair di permukaannya.
Sebelumnya, mikrofosil tertua berusia 3.460 juta tahun ditemukan di Australia Barat .
:strip_icc()/kly-media-production/medias/5447986/original/029535500_1765972431-WhatsApp_Image_2025-12-17_at_17.55.36.jpeg)
:strip_icc()/kly-media-production/medias/5447633/original/020874400_1765960214-Cek_Fakta_Tidak_Benar_Ini_Link_Pendaftaran_-_2025-12-17T144740.536.jpg)
:strip_icc()/kly-media-production/medias/5447933/original/009686600_1765969067-WhatsApp_Image_2025-12-17_at_17.55.15.jpeg)
:strip_icc()/kly-media-production/medias/5323872/original/023868500_1755834103-Cek_Fakta_Tidak_Benar_Ini_Link_Pendaftaran__54_.jpg)
:strip_icc()/kly-media-production/medias/1524148/original/036444300_1488430168-life.jpg)
:strip_icc()/kly-media-production/medias/5446038/original/003387300_1765871568-Lagidiskon__desktop-mobile__356x469_-_Button_Share.png)
:strip_icc()/kly-media-production/medias/1429293/original/037383000_1481114577-20161207--Laptop-Acer-Seharga-20-Juta-Jakarta-Angga-Yuniar-01.jpg)
:strip_icc()/kly-media-production/medias/5436096/original/000714800_1765162370-pexels-photo-1740919.webp)
:strip_icc()/kly-media-production/medias/4800209/original/049531900_1712900090-shutterstock_2286683503.jpg)
:strip_icc()/kly-media-production/medias/5442113/original/056839600_1765528039-Ilustrasi_smartphone__tablet__dan_laptop.png)
:strip_icc()/kly-media-production/medias/5441514/original/073297500_1765510798-Depositphotos_547538726_L.jpg)
:strip_icc()/kly-media-production/medias/5429431/original/070225500_1764586417-pexels-yankrukov-9072212.jpg)
:strip_icc()/kly-media-production/medias/5434294/original/022663100_1764921813-Depositphotos_209735730_L.jpg)
:strip_icc()/kly-media-production/medias/5424660/original/045643900_1764150556-IMG-20251126-WA0006.jpg)
:strip_icc()/kly-media-production/medias/5429377/original/065579200_1764583822-pexels-shkrabaanthony-5264912.jpg)
:strip_icc()/kly-media-production/medias/5428662/original/071057300_1764557835-Depositphotos_170438662_L.jpg)
:strip_icc()/kly-media-production/medias/5426355/original/026522800_1764302989-Depositphotos_189719384_L.jpg)
:strip_icc()/kly-media-production/medias/5415137/original/055240200_1763361833-pexels-muffinsaurs-1214212.jpg)