Liputan6.com, Jakarta - Flu biasa, atau bersin yang merupakan reaksi terhadap debu atau perubahan suhu adalah sesuatu yang bisa terjadi hampir setiap hari. Beberapa dari kita merasakan, bahwa saat bersin sesekali bisa kejang atau merasa kesakitan mencengkeram punggung.
Nyatanya, nyeri punggung yang berhubungan dengan bersin agak umum. "Kami melihat sekitar 10 hingga 20 pasien per minggu yang mengeluh sakit punggung dan atau rasa sakit yang memanas di tungkai bawah setelah bersin atau saat menahan bersin," kata Dr Reuben Soh, konsultan senior di Departemen Bedah Ortopedi Rumah Sakit Umum Singapura, dikutip dari Channel News Asia, Selasa (18/2/2020).
Reuben menambahkan, pasien-pasien ini "rata-rata berusia antara 20 dan 50 tahun". Menurut Asisten Profesor Jacob Oh, kepala operasi tulang belakang dan konsultan senior Departemen Bedah Ortopedi di Rumah Sakit Tan Tock Seng (TTSH), sakit punggung bukanlah sesuatu yang memperburuk usia.
Advertisement
Dengan kata lain, tidak harus mencapai usia tua untuk merasakan hal itu. Ini bisa terjadi kapan saja. "Sejauh yang saya ketahui, tidak ada penelitian besar yang menunjukkan bahwa usia meningkatkan risiko masalah punggung yang berhubungan dengan bersin," kata Jacob.
Saksikan video berikut ini:
Seorang gadis Inggris mengalami penyakit aneh. Ia bisa bersin hingga ribuan kali dalam sehari
Penyebab Nyeri Saat Bersin
Bersin sebenarnya adalah tindakan yang sangat kuat yang menyebabkan otot-otot inti Anda tegang dengan sangat tiba-tiba, kata Jacob. Pada saat yang sama, cakram intervertebralis, yang seperti peredam kejut di tulang belakang, membantu meredam benturan.
Setiap cakram intervertebralis terdiri dari annulus fibrosus, struktur kokoh seperti ban yang membungkus pusat mirip gel yang dikenal sebagai nucleus pulposus.
Tetapi peredam kejut ini bisa rusak jika bersin sangat kuat dan berulang-ulang, menghasilkan cakram hernia, kata Jacob. Hernia adalah ketika nukleus pulposus diperas keluar dari annulus fibrosus dan menonjol ke dalam kanal tulang belakang.
Hal ini, pada gilirannya, dapat menyebabkan linu panggul, yang mengacu pada mati rasa atau rasa sakit yang menimpa kaki Anda. Pada beberapa pasien, kata Jacob, kekuatan bersin bahkan dapat merobek annulus fibrosus.
Bagi mereka yang berusia di bawah 50 tahun, bersin dapat menyebabkan sakit punggung jika Anda pernah mengalami cedera punggung sebelumnya, kata Jacob. Demikian pula, Anda mungkin lebih rentan jika Anda terbiasa melakukan aktivitas berdampak tinggi seperti mengangkat beban berat di gym, atau olahraga dengan tindakan berulang seperti tenis atau dayung kompetitif.
Reuben menambahkan, merokok dan gemuk juga menjadi faktor lain yang berkontribusi.
Advertisement
Bagaimana Mengatasinya?
Tidak perlu menguatkan atau menegangkan tubuh, kata Ringo Yee, ahli fisioterapi utama dari Departemen Fisioterapi TTSH. Luruskan tubuh dari posisi bengkok atau ke depan jika dapat bereaksi di saat itu, katanya. Jika duduk, cobalah untuk menggunakan postur tegak yang netral.
Mengapa posisi menekuk ke depan buruk untuk punggung saat bersin? "Bersin menumpuk hingga 3,5 kali tekanan normal pada cakram dibandingkan dengan berbaring," kata Jacob.
Dengan demikian, membungkuk ke depan sambil bersin dengan mudah memberikan kekuatan yang lebih besar pada cakram, yang dapat meningkatkan risiko merobek annulus fibrosus dan herniasi cakram.
Menahan Bersin
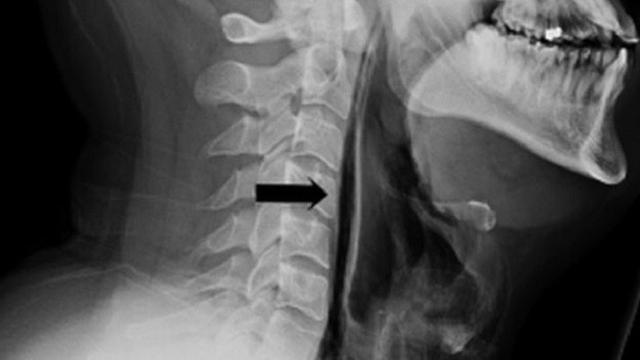
Bolehkah menahan bersin? Jawabannya, tidak. Dalam sebuah kasus, ada seorang pria berusia 34 tahun yang sehat melakukan itu dan akhirnya berdeham.
Peristiwa tersebut, yang dilaporkan dalam jurnal medis BMJ Case Reports pada 2018, menyebutkan bahwa pasien yang tidak disebutkan namanya berusaha untuk menghentikan bersin dengan "menjepit hidung dan menutup mulut."
Tak lama kemudian, tenggorokannya sakit ketika dia menelan dan ada "perubahan suara". Terlebih lagi, lehernya bengkak dan ketika dia memindahkannya, ada sensasi letupan dan retakan yang meresahkan.
Ternyata, pasien mengalami emfisema subkutan dan pneumomediastinum. Sinar-X yang diambil menunjukkan bahwa udara yang seharusnya meledak dari hidung dan mulutnya masuk ke jaringan lunak lehernya.
Pria itu pulih dalam seminggu atau lebih, dan terus membaik setelah dua bulan pemulihan. Tetapi bisakah itu terjadi pada orang lain? "Ini jarang terjadi dalam konteks jumlah bersin yang terjadi setiap hari di seluruh dunia," kata Dr Stephen Lee, seorang konsultan dan ahli bedah Telinga, Hidung dan Tenggorokan (THT) dengan Rumah Sakit Raffles.
"Jika Anda hanya berusaha mengurangi kenyaringan bersin Anda, itu seharusnya tidak berbahaya," kata Lee.
Advertisement
Mengatasi Sakit karena Menahan Bersin
Jika punggung sudah terlanjur sakit karena menahan bersin, jangan panik, kata Ringo Yee. "Coba kembalilah ke posisi duduk atau berdiri yang netral, tergantung pada apa yang Anda lakukan pada saat bersin. Lihat apakah Anda dapat bergerak dengan relatif mudah."
"Jika rasa sakit berlanjut di luar bersin, perhatikan di mana itu (letak sakitnya)," saran Ringo Yee.
"Coba lanjutkan aktivitas harian Anda sebanyak mungkin selama beberapa hari ke depan. Kebanyakan orang pulih dari episode nyeri punggung bawah mereka, jadi tenanglah dalam pikiran itu," tambahnya.
Sementara itu, konsultasikan dengan dokter umum Anda untuk menghilangkan rasa sakit jangka pendek. "Biasanya butuh satu hingga dua minggu untuk pulih," kata Jacob Oh. "Tetapi untuk pasien dengan kekuatan inti yang buruk, dibutuhkan hingga enam minggu agar rasa sakitnya mereda. Dalam kasus robekan annular, penyembuhan biasanya terjadi secara alami antara enam minggu dan tiga bulan."
Ringo Yee menambahkan bahwa jika rasa sakitnya parah dan berlangsung lebih dari empat minggu, Anda mungkin harus memeriksakan diri ke dokter spesialis. "Dalam situasi yang jarang terjadi, berkonsultasilah dengan dokter lebih awal jika ada gejala kelemahan pada kaki, atau kehilangan kontrol pada kandung kemih atau usus," katanya.
Reporter: Deslita Krissanta Sibuea
:strip_icc()/kly-media-production/medias/5456306/original/082609300_1766837182-Cek_Fakta_Tidak_Benar_Ini_Link_Pendaftaran_-_2025-12-27T184822.992.jpg)
:strip_icc()/kly-media-production/medias/4689262/original/048329800_1702811027-Ilustrasi_Natal__ucapan_Selamat_Natal.jpg)
:strip_icc()/kly-media-production/medias/3267613/original/079814300_1602679710-Kejahatan_Siber.jpg)
:strip_icc()/kly-media-production/medias/5455510/original/094712400_1766670466-Cek_Fakta_Tidak_Benar_Ini_Link_Pendaftaran_-_2025-12-25T203045.332.jpg)
:strip_icc()/kly-media-production/medias/2763352/original/014108100_1553759154-iStock-947805434.jpg)
:strip_icc()/kly-media-production/medias/2873492/original/033794800_1565012597-iStock-975681354.jpg)
:strip_icc()/kly-media-production/medias/3174926/original/030259800_1594279054-backfill-HL3.jpg)
:strip_icc()/kly-media-production/medias/2062486/original/066339000_1523089941-svgdcz.jpg)
:strip_icc()/kly-media-production/medias/1837350/original/004000000_1516338260-ruptured-throat.jpg)
:strip_icc()/kly-media-production/medias/5454125/original/099230800_1766550476-Lagidiskon__desktop-mobile__356x469_-_Button_Share.png)
:strip_icc()/kly-media-production/medias/5436532/original/045182500_1765177568-pexels-maksgelatin-4824424.jpg)
:strip_icc()/kly-media-production/medias/5436514/original/029918400_1765176856-pexels-ken-tomita-127057-389818.jpg)
:strip_icc()/kly-media-production/medias/1429293/original/037383000_1481114577-20161207--Laptop-Acer-Seharga-20-Juta-Jakarta-Angga-Yuniar-01.jpg)
:strip_icc()/kly-media-production/medias/5436096/original/000714800_1765162370-pexels-photo-1740919.webp)
:strip_icc()/kly-media-production/medias/4800209/original/049531900_1712900090-shutterstock_2286683503.jpg)
:strip_icc()/kly-media-production/medias/5442113/original/056839600_1765528039-Ilustrasi_smartphone__tablet__dan_laptop.png)
:strip_icc()/kly-media-production/medias/5441514/original/073297500_1765510798-Depositphotos_547538726_L.jpg)
:strip_icc()/kly-media-production/medias/5429431/original/070225500_1764586417-pexels-yankrukov-9072212.jpg)
:strip_icc()/kly-media-production/medias/5434294/original/022663100_1764921813-Depositphotos_209735730_L.jpg)
:strip_icc()/kly-media-production/medias/5424660/original/045643900_1764150556-IMG-20251126-WA0006.jpg)
:strip_icc()/kly-media-production/medias/5429377/original/065579200_1764583822-pexels-shkrabaanthony-5264912.jpg)
:strip_icc()/kly-media-production/medias/5428662/original/071057300_1764557835-Depositphotos_170438662_L.jpg)