Liputan6.com, Thousand Oaks - Pihak yang berwenang urusan makanan dan obat-obatan AS, Food and Drug Administration (FDA), baru-baru ini telah menyetujui penggunaan suatu virus herpes sebagai pengobatan melawan kanker kulit.
Dengan persetujuan yang diperoleh dalam minggu ini, Talimogene laherparepvec, akan dijual dengan nama dagang Imlygic untuk pengobatan melanoma pada kulit dan titik-titik limfa.
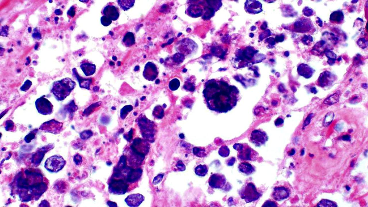
Dijelaskan dalam Science Alert, Imlygic adalah bentuk modifikasi genetik terhadap virus herpes simplex yang menjadi penyebab herpes pada mulut dan alat kelamin. Sebagai obat, zat ini disuntikkan secara berurutan di tempat serangan.
Advertisement
Masih ada pandangan tidak sedap terhadap herpes, sehingga persetujuan FDA ini bisa saja mengundang pertanyaan. Namun demikian, secaara ilmiah, penggunaan bentuk virus yang sudah dimodifikasi untuk membantu melawan kanker ini merupakan alternatif. Apalagi dalam situasi di mana pembedahan tidak mungkin dilakukan.
Virus yang telah mengalami modifikasi ini dirancang untuk membiak di dalam tumor dan menyebabkan kematian sel (lysis), sehingga meletuskan sel-sel itu sehingga mengeluarkan antigen yang dapat merangsang tanggapan anti-tumor. Walaupun demikian, cara yang pasti tentang perlawanan terhadap kanker oleh obat ini belum sepenuhnya dimengerti.
Dalam suatu penelitian yang melibatkan 436 peserta penderita melanoma metastatik yang tidak bisa dibedah, ada 16,3% peserta yang mendapatkan Imygic yang mengalami penyusutan ukuran bercak di kulit dan titik-titik limfa selama masa 6 bulan. Kelompok yang tidak mendapatkannya hanya 2,1% peserta saja yang mengalami penyusutan demikian.
Namun perlu dicatat bahwa pada tahap ini belum diketahui apakah obat membantu tingkat penyintasan (survival) penderita melanoma, walaupun mungkin bisa juga membantu.
Selama percobaan, yang diukur hanyalah pengurangan ukuran bercak tersebut. Obat ini juga sepertinya tidak berdampak apapun pada kanker yang telah menyebar lebih dalam di tubuh, misalnya di otak, tulang, hati, paru-paru, dan organ dalam lainnya.
Namun, untuk keadaan di AS di mana melanoma ini menjadi kanker yang sangat lazim, segala cara baru pengobatan disambut dengan senang hati, walaupun ada dampak samping seperti kelelahan, gemetar, demam, mual, dan gejala-gejala seperti flu—atau bahkan malah terkena herpes itu sendiri!
Karena dampak samping tersebut, pengobatan tidak boleh diberikan kepada wanita hamil atau pasien yang memiliki sistem kekebalan yang rendah.
Yang tidak kalah penting adalah biaya. Amgen, perusahaan pembuatnya, memperkirakan biaya pengobatan Imlygic untuk tiap pasien berkisar pada angka 880 juta rupiah!
Sean A. Harper, wakil presiden eksekutif untuk litbang di Amgen mengatakan melalui terbitan pers, “Tidak semua pasien melanoma mendapatkan manfaat dari pengobatan ini dan Imlygic menjadi suatu pilihan baru yang penting yang dapat memberikan tanggapan berarti bagi para pasien penderita penyaki ganas dan kompleks ini.” (Alx)
:strip_icc()/kly-media-production/medias/5469997/original/067401300_1768193941-Cek_Fakta_Tidak_Benar_Ini_Link_Pendaftaran_-_2026-01-12T115436.186.jpg)
:strip_icc()/kly-media-production/medias/5468999/original/093745600_1768041990-young-students-learning-library-bookshelves.jpg)
:strip_icc()/kly-media-production/medias/5469703/original/032621500_1768177223-Cek_Fakta_Tidak_Benar_Ini_Link_Pendaftaran_-_2026-01-12T071712.357.jpg)
:strip_icc()/kly-media-production/medias/2913252/original/006053400_1568693352-WhatsApp_Image_2019-09-17_at_10.57.35_AM.jpeg)
:strip_icc()/kly-media-production/medias/1037275/original/035057400_1446111309-8540532902_a432856be7_k_1024__Yale_Rosen_on_flickr_via_Science_Alert_.jpg)
