Liputan6.com, Inggris Miniatur traffic cone (kerucut lalu lintas) bersarang di paru-paru seorang pria asal Inggris, Paul Baxter, selama 40 tahun. Namun, selama kurun waktu itu, Paul tak pernah menyadarinya. Sampai pada akhirnya, ayah dua orang anak ini mengalami batuk berlendir yang tak kunjung sembuh.
Paul takut kalau penyakitnya itu berkaitan dengan kanker paru-paru. Ia pun merasa harus sembuh dari penyakit itu. Hal itu membuatnya berani memeriksakan diri ke dokter.
Advertisement
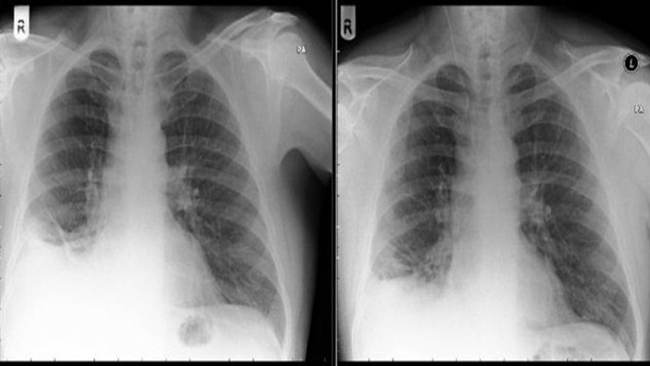
Setelah melakukan pemeriksaan lewat sinar X, dokter mendiagnosis Paul dengan tumor ganas, karena dari hasil pemeriksaan tampak sebuah benda menyerupai tumor di paru-paru sebelah kanan.
Diagnosis itu tak lama berubah, saat dokter kembali melakukan pengecekan menggunakan bronchoscopy, prosedur yang memungkinkan dokter melihat saluran pernapasan pasien menggunakan alat bronchoscope.
Dokter di Royal Preston Hospital, menemukan, ada miniatur traffic cone berukuran kecil bersarang di paru-paru Paul.
:strip_icc()/kly-media-production/medias/1722996/original/087716700_1506579291-traffic_cone__673_x_373_.jpg)
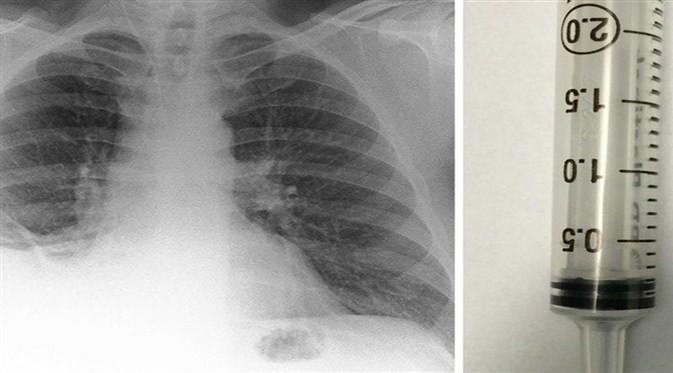
Akhirnya, dokter mengeluarkan mainan kerucut lalu lintas dengan forsep (alat menyerupai sendok) pada 2015, tepat 40 tahun miniatur traffic cone tertelan oleh Paul.
Kejadian yang menimpa Paul dianggap sesuatu yang langka. Anak-anak diketahui secara tidak sengaja menelan mainan berukuran kecil.
Akan tetapi, dalam banyak kasus, dokter dapat mendiagnosisnya dalam waktu seminggu. Berbeda dengan Paul, yang kini berusia 50 tahun, miniatur yang sangat kecil itu justru bersarang di paru-parunya selama 40 tahun.
Simak video menarik berikut:
Batuk sembuh
Adanya miniatur traffic cone di dalam paru-paru Paul membuat ia mengalami batuk terus-menerus. Setelah mainan itu dikeluarkan dari paru-parunya, empat bulan kemudian, batuk pun sembuh.
"Kesembuhan ini sebagai pertanda, kesehatan ia membaik. Akhirnya, pertanyaan dia terjawab. Miniatur traffic cone yang telah lama hilang tertelan ke paru-parunya," menurut keterangan dari para dokter, dilansir dari Express & Star, Kamis (28/9/2017).
:strip_icc()/kly-media-production/medias/1722997/original/000819600_1506579353-traffic_cone2__673_x_373_.jpg)
Kasus soal Paul dipublikasikan di Biomedical Journal Case Reports.
Advertisement
:strip_icc()/kly-media-production/medias/5529795/original/057657800_1773381579-Cek_Fakta_Tidak_Benar_Ini_Link_Pendaftaran_-_2026-03-13T125323.730.jpg)
:strip_icc()/kly-media-production/medias/4935271/original/008721800_1725344881-3_september_2024-2.jpg)
:strip_icc()/kly-media-production/medias/5545171/original/027072200_1775128700-Cek_Fakta_Tidak_Benar_Ini_Link_Pendaftaran_-_2026-04-02T153718.739.jpg)
:strip_icc()/kly-media-production/medias/5327835/original/090217100_1756190402-Gemini_Generated_Image_14t8d314t8d314t8.jpg)
:strip_icc()/kly-media-production/medias/1722993/original/046173800_1506579140-traffic_cone3__673_x_373_.jpg)