Liputan6.com, Amsterdam - Seorang wanita di Belanda terinfeksi COVID-19 dan mengalami gejala ringan, tapi setelah dironsen (rontgen) ternyata kedua paru-paru dia rusak usai dinyatakan sembuh dalam kurun waktu lima minggu.
Seperti dikutip Livescience pada Sabtu, 30 Januari 2021, awalnya wanita itu mengembangkan gejala COVID-19, termasuk demam dan nyeri otot. Namun, dari gejalanya tersebut, dia merasa mampu untuk mengobati gejalanya di rumah dengan asetaminofen dan inhaler. Kondisinya pun mulai membaik.
Akan tetapi lima minggu kemudian, gejala barunya muncul. Menurut laporan yang diterbitkan pada 22 Januari di The Journal of Emergency Medicine, wanita 38 tahun itu dilarikan ke ruang gawat darurat setelah dia mengalami sesak napas dan nyeri yang menusuk di dadanya. Dia mengatakan bahwa gejalanya muncul tiba-tiba hari itu dan tampaknya semakin parah.
Advertisement
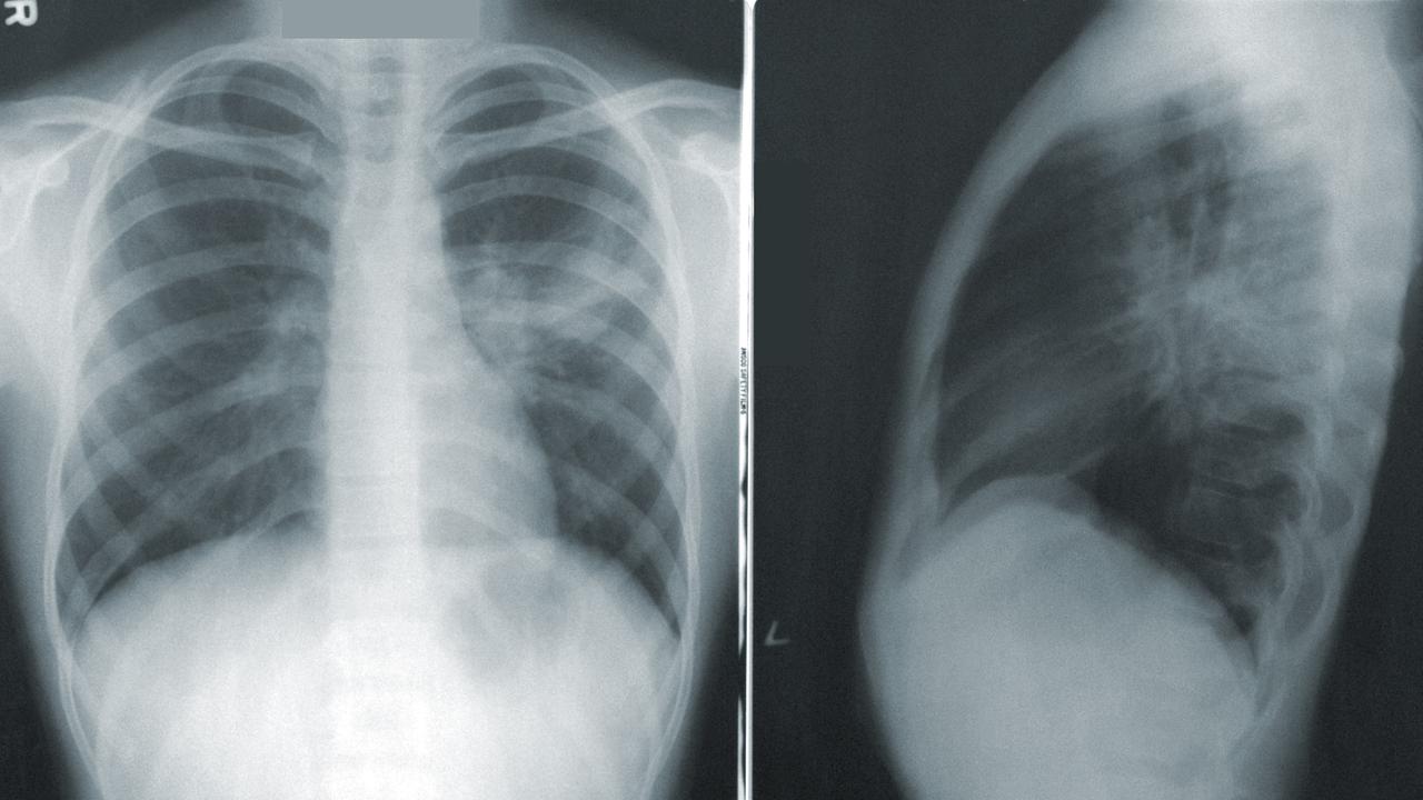
"Hasil ronsen di UGD menunjukkan bahwa dia menderita 'pneumotoraks bilateral', yang berarti kedua paru-parunya kolaps," tulis laporan tersebut.
Menurut National Institute of Health, paru-paru kolaps (Pneumotoraks) terjadi ketika udara bocor dari paru ke ruang antara paru-paru dan dinding dada, yang memberi tekanan pada paru-paru dan mencegahnya berkembang dengan baik.
Kondisi ini dapat disebabkan trauma pada dada atau oleh kondisi paru-paru tertentu, termasuk penyakit paru obstruktif kronik (PPOK).
Menurut University of Wisconsin-Madison, pasien yang menggunakan ventilator juga berisiko mengalami paru-paru kolaps karena alat tersebut (ventilator) dapat membengkakkan paru secara berlebihan.
Namun, hal yang dialami wanita tersebut tidaklah biasa karena dia tidak memiliki faktor risiko untuk kondisi tersebut, dan dia belum pernah dirawat di rumah sakit atau menggunakan ventilator sebelum paru-parunya runtuh, dikutip dari laporan tersebut.
Simak Video Berikut Ini:
Gubernur Jawa Barat Ridwan Kamil mengatakan, pihaknya bakal menerima 97 ribu dosis vaksin Covid-19 dari pemerintah pusat. Adapun vaksin tersebut akan disuntikkan dua kali.
Hasil Laporan Terkait Paru Kolaps
Kasus kolaps paru pada pasien COVID-19 sudah pernah dilaporkan sebelumnya, tapi kebanyakan pada pasien rawat inap.
Sebuah studi terhadap sekitar 6.500 pasien COVID-19 yang dirawat di rumah sakit di Inggris, yang diterbitkan pada September 2020 di The European Respiratory Journal menemukan ada sekitar 1 persen dari orang-orang tersebut mengalami pneumotoraks.
Dari 60 pasien dalam penelitian ini memiliki paru-paru yang kolaps, sebagian besar telah menerima bantuan ventilasi, tetapi sepertiganya tidak. Lalu hanya empat pasien yang mengalami pneumotoraks di kedua paru.
Penulis laporan wanita tersebut dari Elisabeth TweeSteden Hospital di Belanda menuliskan bahwa dokter gawat darurat harus menyimpulkan pneumotoraks merupakan kemungkinan komplikasi yang tertunda terkait COVID-19. Namun menurut dokter, penyebab kolaps paru-paru wanita tersebut masih belum jelas. Ketika dokter tidak dapat mengidentifikasi penyebab paru-paru yang kolaps, ini dikenal sebagai spontaneous collapsed lung atau kolaps paru-paru spontan.
Penulis laporan pun tidak dapat mengatakan dengan pasti bahwa COVID-19 menyebabkan paru-paru wanita itu kolaps, karena mungkin juga hanya kebetulan waktunya pas. Tetapi mengingat wanita itu tidak memiliki faktor risiko lain untuk paru-paru yang kolaps maka mungkin ada peran dari COVID-19. Misalnya, infeksi telah menyebabkan perubahan mikroskopis pada jaringan dan pembuluh darah di paru-paru yang akhirnya mengakibatkan pneumotoraks.
Adapun perawatan untuk pasien pneumotoraks, menurut Mayo Clinic, biasanya dokter memasukkan alat seperti jarum ke tulang rusuk untuk menghilangkan udara berlebih dari sekitar paru-paru pasien. Maka dalam kasus wanita tersebut, dokter pun menggunakan instrumen tersebut untuk mengeluarkan udara di sekitar paru-paru kanannya. Paru-paru kirinya tidak dirawat karena hanya sebagian kecil saja yang rusak dan dokter mengira kemungkinan besar akan sembuh dengan sendirinya.
Empat minggu kemudian, kedua paru-parunya telah membesar kembali ke ukuran normalnya, dan ia tidak mengalami komplikasi paru-paru lainnya, tulis laporan tersebut.
Advertisement
:strip_icc()/kly-media-production/medias/5441352/original/085354000_1765504848-Cek_Fakta_Tidak_Benar_Ini_Link_Pendaftaran_-_2025-12-12T084357.150.jpg)
:strip_icc()/kly-media-production/medias/5451545/original/054247400_1766308068-Cek_Fakta_Tidak_Benar_Ini_Link_Pendaftaran_-_2025-12-21T153642.463.jpg)
:strip_icc()/kly-media-production/medias/5444107/original/075925000_1765771609-Cek_Fakta_Tidak_Benar_Ini_Link_Pendaftaran_-_2025-12-15T110458.475.jpg)
:strip_icc()/kly-media-production/medias/4958949/original/054567300_1727919991-IMG-20241002-WA0132.jpg)
:strip_icc()/kly-media-production/medias/3362440/original/037247900_1611844251-cdc-NMZdj2Zu36M-unsplash__1_.jpg)
:strip_icc()/kly-media-production/medias/3322332/original/031985100_1607783114-infog_masker_rev.jpg)

:strip_icc()/kly-media-production/medias/5446038/original/003387300_1765871568-Lagidiskon__desktop-mobile__356x469_-_Button_Share.png)
:strip_icc()/kly-media-production/medias/5436514/original/029918400_1765176856-pexels-ken-tomita-127057-389818.jpg)
:strip_icc()/kly-media-production/medias/1429293/original/037383000_1481114577-20161207--Laptop-Acer-Seharga-20-Juta-Jakarta-Angga-Yuniar-01.jpg)
:strip_icc()/kly-media-production/medias/5436096/original/000714800_1765162370-pexels-photo-1740919.webp)
:strip_icc()/kly-media-production/medias/4800209/original/049531900_1712900090-shutterstock_2286683503.jpg)
:strip_icc()/kly-media-production/medias/5442113/original/056839600_1765528039-Ilustrasi_smartphone__tablet__dan_laptop.png)
:strip_icc()/kly-media-production/medias/5441514/original/073297500_1765510798-Depositphotos_547538726_L.jpg)
:strip_icc()/kly-media-production/medias/5429431/original/070225500_1764586417-pexels-yankrukov-9072212.jpg)
:strip_icc()/kly-media-production/medias/5434294/original/022663100_1764921813-Depositphotos_209735730_L.jpg)
:strip_icc()/kly-media-production/medias/5424660/original/045643900_1764150556-IMG-20251126-WA0006.jpg)
:strip_icc()/kly-media-production/medias/5429377/original/065579200_1764583822-pexels-shkrabaanthony-5264912.jpg)
:strip_icc()/kly-media-production/medias/5428662/original/071057300_1764557835-Depositphotos_170438662_L.jpg)
:strip_icc()/kly-media-production/medias/5426355/original/026522800_1764302989-Depositphotos_189719384_L.jpg)