Liputan6.com, Jakarta Dalam dunia medis yang penuh dengan misteri dan kejadian tak terduga, sebuah peristiwa luar biasa datang dari tanah Australia. Seorang wanita berusia 64 tahun telah menjadi subjek kasus yang belum pernah terjadi sebelumnya. Gejala-gejala aneh dan perjalanan medis yang penuh teka-teki telah mengantarkan para dokter pada penemuan yang menggegerkan dunia kedokteran.
Sebuah cacing gelang parasit, yang biasanya ditemukan pada ular piton, kini ditemukan hidup dalam otaknya. Inilah kisah menakjubkan tentang bagaimana penyakit yang sebelumnya hanya ada pada hewan dapat memasuki tubuh manusia, menggemparkan komunitas medis, dan mengajarkan kita lebih banyak tentang interaksi yang rumit antara organisme dan lingkungan.
Untuk kisah lengkapnya, berikut ini telah Liputan6.com rangkum dari berbagai sumber tentang kisah penemuan cacing hidup di dalam otak seorang wanita di Australia, yang menjadi kasus pertama di dunia, Selasa (29/8/2023).
Advertisement
Atlet angkat besi Indonesia, Rizki Juniansyah berhasil menyabet 3 medali dalam kejuaraan dunia International Weightlifting Federation Championship (IWF), di Kota Bogota Kolombia.
Kejadian Aneh di Australia: Cacing Hidup Ditemukan dalam Otak Manusia
Sebuah kejadian luar biasa terjadi di Australia, di mana seorang wanita berusia 64 tahun terus-menerus kembali ke rumah sakit dengan berbagai gejala yang misterius. Kasus ini akhirnya memunculkan penemuan yang belum pernah terjadi sebelumnya di dunia medis, cacing hidup ditemukan bersembunyi di otaknya.
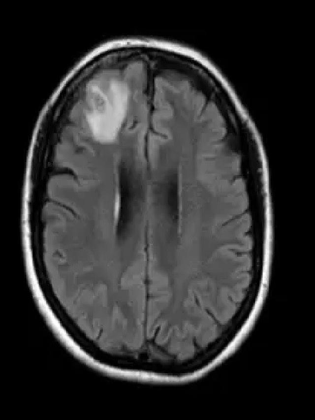
Sejak tahun 2021, wanita tersebut telah mengalami berbagai masalah kesehatan termasuk pneumonia, sakit perut, diare, batuk kering, demam, dan keringat malam. Pada tahun 2022, gejalanya berkembang menjadi depresi dan kelupaan, yang mengakibatkan dokter memerintahkan pemindaian MRI otak. Hasil pemindaian ini mengungkapkan keberadaan kelainan yang memerlukan tindakan pembedahan.
Namun, yang membuat peristiwa ini semakin tidak biasa adalah saat operasi dilakukan, tim bedah menemukan cacing gelang parasit berukuran 8 cm berwarna merah cerah yang hidup di otak wanita tersebut. Cacing ini dikenal sebagai Ophidascaris robertsi yang sebelumnya hanya ditemukan pada ular piton karpet. Ini merupakan kasus pertama kali cacing ini ditemukan hidup di dalam tubuh manusia.
Para dokter dan ilmuwan menghadapi tantangan besar dalam memahami bagaimana parasit ini bisa masuk ke tubuh wanita tersebut. Meskipun dia tidak memiliki kontak langsung dengan ular, dia tinggal di dekat danau yang banyak dihuni oleh ular piton. Kemungkinan besar, telur cacing ini masuk ke tubuhnya melalui tumbuhan yang dikonsumsinya, seperti bayam Selandia Baru yang dia kumpulkan untuk dimasak.
Advertisement
Keajaiban Medis yang Mengejutkan Dunia
Penemuan cacing hidup di otak manusia ini telah menggemparkan komunitas medis di seluruh dunia. Dr. Sanjaya Senanayake, seorang spesialis penyakit menular, menyatakan bahwa penemuan ini luar biasa dan jarang terjadi dalam karir seorang ahli bedah saraf.
Kasus ini menyoroti bagaimana penyakit yang sebelumnya hanya ada pada hewan liar dapat dengan cepat berpindah ke populasi manusia. Kondisi ini dikenal sebagai zoonosis, di mana sekitar 75% infeksi yang muncul secara global adalah penyakit yang menular dari hewan ke manusia, termasuk virus corona yang telah menjadi pandemi.
Namun, meskipun penemuan ini unik dan mengejutkan, dokter menyatakan bahwa infeksi Ophidascaris tidak menular antarmanusia, sehingga tidak ada risiko pandemi seperti yang terjadi pada COVID-19. Namun, kemungkinan kasus serupa dapat muncul di berbagai belahan dunia, terutama di daerah di mana cacing ini ditemukan pada ular piton.
Perjalanan Menuju Kesembuhan
Wanita yang mengalami kejadian luar biasa ini telah menjalani operasi untuk mengangkat cacing gelang parasit dari otaknya. Meskipun operasi tersebut berhasil, gejala depresi dan kelupaan yang dia alami belum sepenuhnya hilang, meskipun ada perbaikan signifikan setelah enam bulan.
Kisah wanita ini adalah cerita tentang ketangguhan dan ketabahan dalam menghadapi tantangan medis yang jarang terjadi. Dr. Senanayake memuji keberanian dan ketekunan wanita ini dalam menghadapi kondisi yang belum pernah terjadi sebelumnya. Dia mengakui bahwa para ahli medis terus belajar dari kasus ini untuk meningkatkan pemahaman tentang penyakit zoonosis dan bagaimana mencegahnya.
Kejadian ini juga menegaskan pentingnya kolaborasi antara dokter dan ilmuwan dalam menghadapi tantangan medis yang kompleks dan tidak biasa. Dengan semakin cepatnya perpindahan penyakit dari hewan ke manusia, penelitian lebih lanjut dan pemahaman mendalam tentang potensi infeksi baru menjadi sangat penting dalam menjaga kesehatan global.
Advertisement
:strip_icc()/kly-media-production/medias/4945767/original/075099200_1726555143-siswa-SD-PIP-dan-sinpel-2048x1365.jpg)
:strip_icc()/kly-media-production/medias/4706935/original/089011800_1704435899-cek_fakta_nila.jpg)
:strip_icc()/kly-media-production/medias/5448561/original/026937800_1766032935-Cek_Fakta_Tidak_Benar_Ini_Link_Pendaftaran_-_2025-12-18T104853.041.jpg)
:strip_icc()/kly-media-production/medias/4833411/original/064255800_1715834842-cek_fakta_sendi.jpg)
:strip_icc()/kly-media-production/medias/4555853/original/078686400_1693301155-co.jpg)
:strip_icc()/kly-media-production/medias/4555854/original/085375200_1693301155-3.jpg)
:strip_icc()/kly-media-production/medias/4555855/original/088952100_1693301155-2.jpg)
:strip_icc()/kly-media-production/medias/4555856/original/092337400_1693301155-1.jpg)
:strip_icc()/kly-media-production/medias/5446038/original/003387300_1765871568-Lagidiskon__desktop-mobile__356x469_-_Button_Share.png)
:strip_icc()/kly-media-production/medias/1429293/original/037383000_1481114577-20161207--Laptop-Acer-Seharga-20-Juta-Jakarta-Angga-Yuniar-01.jpg)
:strip_icc()/kly-media-production/medias/5436096/original/000714800_1765162370-pexels-photo-1740919.webp)
:strip_icc()/kly-media-production/medias/4800209/original/049531900_1712900090-shutterstock_2286683503.jpg)
:strip_icc()/kly-media-production/medias/5442113/original/056839600_1765528039-Ilustrasi_smartphone__tablet__dan_laptop.png)
:strip_icc()/kly-media-production/medias/5441514/original/073297500_1765510798-Depositphotos_547538726_L.jpg)
:strip_icc()/kly-media-production/medias/5429431/original/070225500_1764586417-pexels-yankrukov-9072212.jpg)
:strip_icc()/kly-media-production/medias/5434294/original/022663100_1764921813-Depositphotos_209735730_L.jpg)
:strip_icc()/kly-media-production/medias/5424660/original/045643900_1764150556-IMG-20251126-WA0006.jpg)
:strip_icc()/kly-media-production/medias/5429377/original/065579200_1764583822-pexels-shkrabaanthony-5264912.jpg)
:strip_icc()/kly-media-production/medias/5428662/original/071057300_1764557835-Depositphotos_170438662_L.jpg)
:strip_icc()/kly-media-production/medias/5426355/original/026522800_1764302989-Depositphotos_189719384_L.jpg)
:strip_icc()/kly-media-production/medias/5415137/original/055240200_1763361833-pexels-muffinsaurs-1214212.jpg)