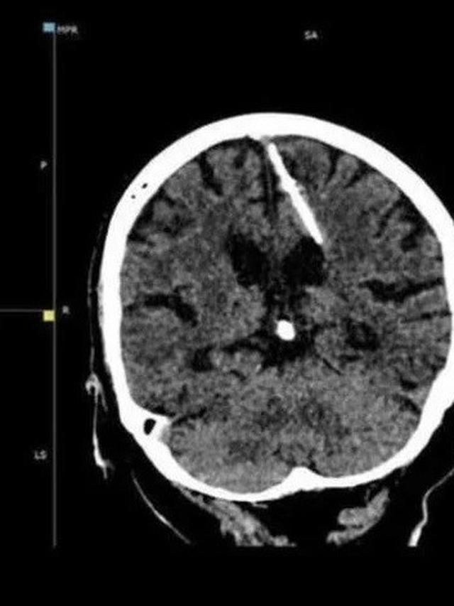
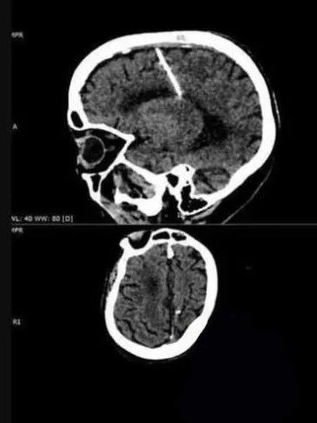
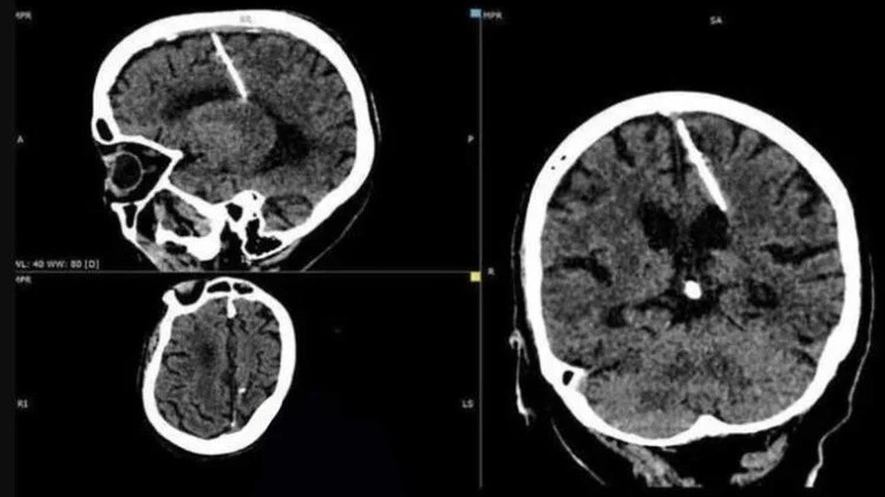
Liputan6.com, Jakarta Seorang wanita berusia 80 tahun dari wilayah Sakhalin, Rusia, baru-baru ini membuat penemuan yang mengejutkan setelah menjalani CT scan. Hasil pemeriksaan tersebut mengungkapkan adanya jarum logam berukuran 3 cm yang tertancap di sisi kiri otaknya.
Kementerian Kesehatan Sakhalin telah merilis foto hasil CT scan wanita tersebut, yang disertai dengan penjelasan yang membingungkan. Mempertimbangkan usia wanita tersebut, para dokter meyakini bahwa jarum tersebut dimasukkan ke dalam otaknya oleh orang tuanya sendiri segera setelah dia dilahirkan.
“Kasus seperti ini sering terjadi pada tahun-tahun kelaparan: sebuah jarum tipis dimasukkan ke dalam ubun-ubun bayi, sehingga merusak otak,” kata Kementerian Kesehatan setempat mengutip dari MKRU Sakhalin.
Advertisement
Meskipun mengejutkan, praktik seperti ini tidaklah asing di Rusia yang dilanda perang. Diketahui orang tua setempat zaman dulu memang sengaja memasukkan jarum ke otak bayi. Selama masa perang, orang tua yang tidak mampu merawat bayi mereka dalam kondisi sulit akan menggunakan metode ini.
Terdengar menakutkan, berikut Liputan6.com merangkum temuan otak nenek tertancap jarum selama 80 tahun melansir dari Oddity Central dan Insider, Selasa (10/10/2023).
Di Indonesia, stroke merupakan penyebab kematian dan kecacatan utama. Data Riskesdas bahkan menunjukkan, peningkatan prevalensi stroke dari 8,3 per 1.000 penduduk pada 2007 menjadi 12,1 per 1.000 penduduk pada 2013.
Jarum di Otak untuk Membunuh Bayi
Tidak disebutkan secara pasti kapan dokter menemukan penemuan tersebut, namun mencatat bahwa penemuan tersebut terjadi pada tahun 2023. Namun pemerintah setempat membenarkan adanya praktik tradisi aneh memasukkan jarum ke kepala bayi.
Mereka akan memasukkan jarum tipis ke dalam otak bayi melalui ubun-ubun, yaitu celah di tengkorak yang secara bertahap menutup seiring pertumbuhan bayi. Tujuannya tak lain untuk membunuh mereka. Metode ini tidak meninggalkan jejak, karena ubun-ubun menutup dengan cepat, tidak meninggalkan bukti adanya indikasi pembunuhan.
"Ubun-ubun segera menutup, menyembunyikan jejak kejahatan, dan bayinya meninggal,” lanjut keterangan Kementerian Kesehatan Sakhalin
Sakhalin merupakan sebuah pulau dengan sekitar 500.000 penduduk, terletak di lepas pantai tenggara daratan Rusia dan berada di Laut Okhotsk, tepat di utara Hokkaido, Jepang.
Terlepas dari praktik aneh ini, masih menjadi misteri bagaimana wanita berusia 80 tahun ini bisa selamat dari upaya pembunuhan orang tuanya. Mungkin mereka menganggap kelangsungan hidupnya sebagai sebuah keajaiban dan memutuskan bahwa dia memang ditakdirkan untuk selamat.
Advertisement
Jarum di Otak Nenek 80 Tahun Tak Diangkat
Namun, yang lebih mencengangkan adalah bahwa wanita tersebut tidak pernah mengalami sakit kepala yang signifikan akibat benda asing di otaknya. Jika bukan karena CT scan baru-baru ini, dia mungkin tidak akan pernah mengetahui keberadaan jarum tersebut.
Para dokter yang merawatnya telah menyimpulkan bahwa intervensi bedah untuk mengangkat jarum logam tersebut akan membahayakan pasien, mengingat usianya yang sudah lanjut.
Oleh karena itu, mereka menyimpulkan bahwa jarum suntik tersebut tidak menimbulkan ancaman bagi kesehatannya, dan wanita tersebut akan melanjutkan hidupnya seperti biasa. Namun, dia akan tetap berada di bawah pengawasan ketat dokternya.
Kasus Serupa di Tiongkok
Seorang wanita berusia 29 tahun dari Zhengzhou menjalani CT scan setelah kecelakaan mobil. Hasilnya, ditemukan dua jarum, sepanjang 5 cm dan berdiameter 4,9 mm, tertanam dalam otaknya.
Kejanggalan yang semakin membingungkan adalah bahwa jarum suntik tersebut tidak memiliki kaitan dengan kecelakaan mobil yang dia alami. Tidak ada cedera pada tengkorak atau kulit kepala yang terlihat, dan wanita tersebut bahkan tidak ingat adanya trauma serius pada kepala dalam sejarah hidupnya.
Dokter meyakini bahwa jarum-jarum tersebut kemungkinan dimasukkan ke dalam kepala Zhu, entah sengaja atau tidak, ketika dia masih sangat muda. Hal ini diperkuat oleh fakta bahwa, jika dilihat dari diameter jarum-jarum tersebut, mereka tidak akan mampu menembus tengkorak yang sudah berkembang sempurna.
Advertisement
:strip_icc()/kly-media-production/medias/5448205/original/085550400_1766022443-Cek_Fakta_Tidak_Benar_Ini_Link_Pendaftaran_-_2025-12-18T084617.730.jpg)
:strip_icc()/kly-media-production/medias/3267613/original/079814300_1602679710-Kejahatan_Siber.jpg)
:strip_icc()/kly-media-production/medias/5447986/original/029535500_1765972431-WhatsApp_Image_2025-12-17_at_17.55.36.jpeg)
:strip_icc()/kly-media-production/medias/5447633/original/020874400_1765960214-Cek_Fakta_Tidak_Benar_Ini_Link_Pendaftaran_-_2025-12-17T144740.536.jpg)
:strip_icc()/kly-media-production/medias/4605065/original/086397100_1696912847-Pers_Kementrian_Kesehatan_Sakhalin_Rusia.jpg)
:strip_icc()/kly-media-production/medias/4605066/original/089408700_1696912847-Pers_Kementrian_Kesehatan_Sakhalin_Rusia2.jpg)
:strip_icc()/kly-media-production/medias/4605067/original/091042800_1696912847-Pers_Kementrian_Kesehatan_Sakhalin_Rusia1.jpg)
:strip_icc()/kly-media-production/medias/4605068/original/093796400_1696912847-Oddity_Central.jpg)
:strip_icc()/kly-media-production/medias/5446038/original/003387300_1765871568-Lagidiskon__desktop-mobile__356x469_-_Button_Share.png)
:strip_icc()/kly-media-production/medias/1429293/original/037383000_1481114577-20161207--Laptop-Acer-Seharga-20-Juta-Jakarta-Angga-Yuniar-01.jpg)
:strip_icc()/kly-media-production/medias/5436096/original/000714800_1765162370-pexels-photo-1740919.webp)
:strip_icc()/kly-media-production/medias/4800209/original/049531900_1712900090-shutterstock_2286683503.jpg)
:strip_icc()/kly-media-production/medias/5442113/original/056839600_1765528039-Ilustrasi_smartphone__tablet__dan_laptop.png)
:strip_icc()/kly-media-production/medias/5441514/original/073297500_1765510798-Depositphotos_547538726_L.jpg)
:strip_icc()/kly-media-production/medias/5429431/original/070225500_1764586417-pexels-yankrukov-9072212.jpg)
:strip_icc()/kly-media-production/medias/5434294/original/022663100_1764921813-Depositphotos_209735730_L.jpg)
:strip_icc()/kly-media-production/medias/5424660/original/045643900_1764150556-IMG-20251126-WA0006.jpg)
:strip_icc()/kly-media-production/medias/5429377/original/065579200_1764583822-pexels-shkrabaanthony-5264912.jpg)
:strip_icc()/kly-media-production/medias/5428662/original/071057300_1764557835-Depositphotos_170438662_L.jpg)
:strip_icc()/kly-media-production/medias/5426355/original/026522800_1764302989-Depositphotos_189719384_L.jpg)
:strip_icc()/kly-media-production/medias/5415137/original/055240200_1763361833-pexels-muffinsaurs-1214212.jpg)