Liputan6.com, Jakarta Telapak tangan memiliki peran yang sangat penting dalam mendukung aktivitas manusia dalam kehidupan sehari-hari. Telapak tangan sendiri memiliki struktur yang dibentuk oleh serangkaian tulang telapak tangan. Fungsi tulang telapak tangan adalah penting karena tulang ini memainkan peran yang signifikan dalam fungsi tubuh manusia.
Tulang telapak tangan terdiri dari beberapa tulang kecil yang memungkinkan pergerakan jari-jari tangan. Ini memungkinkan manusia untuk melakukan berbagai tugas seperti menggenggam, meraih, memegang benda, dan melakukan berbagai aktivitas sehari-hari seperti menulis, makan, bermain musik, dan lain sebagainya.
Selain itu, salah satu fungsi tulang telapak tangan adalah memberikan dukungan struktural bagi pergelangan tangan dan jari-jari. Mereka membantu menjaga bentuk tangan dan memberikan kerangka yang diperlukan untuk menjalankan aktivitas fisik. Fungsi tulang telapak tangan juga berperan dalam sistem saraf sensorik. Mereka memiliki saraf-saraf yang mendeteksi sentuhan, tekanan, dan suhu, sehingga memungkinkan kita merasakan dan merespons lingkungan sekitar.
Advertisement
Masih ada banyak lagi fungsi tulang telapak tangan yang perlu kita pahami. Untuk memahami fungsi tulang telapak tangan lebih dalam, simak penjelasan selengkapnya berikut ini seperti yang telah dirangkum Liputan6.com dari berbagai sumber, Senin (16/10/2023).
Berita Video, Pengabadian Telapak Tangan Ronaldinho di RANS Prestige Sportaiment pada Senin (27/6/2022)
Memahami Anatomi Tulang Telapak Tangan
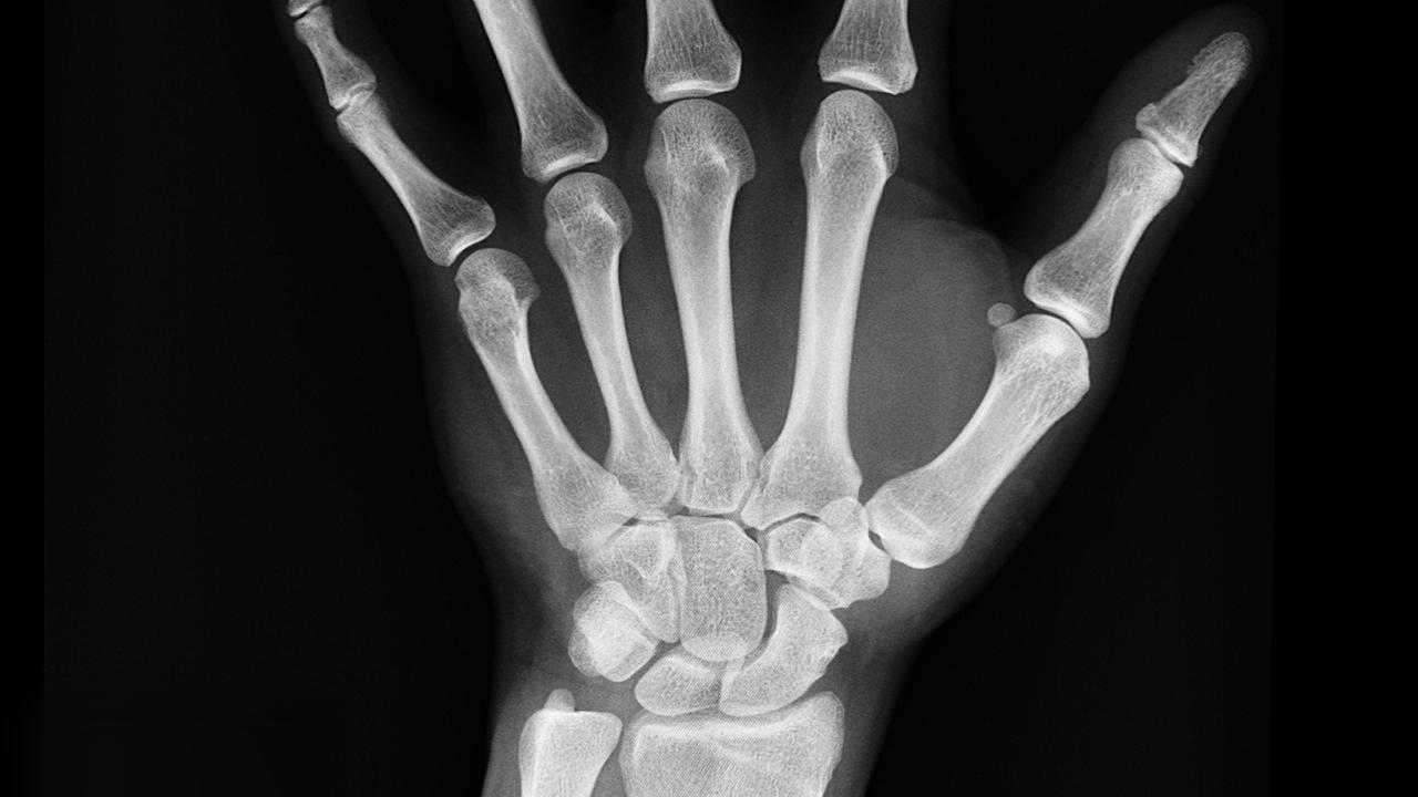
Fungsi tulang telapak tangan tidak lepas dari struktur yang membentuk anatomi tulang telapak tangan. Tulang telapak tangan adalah bagian dari tulang manusia yang terletak di pergelangan tangan dan pangkal jari-jari. struktur atau anatomi tulang telapak tangan mencakup tulang karpus, metakarpus, dan falang, memainkan peran penting dalam mendukung dan memungkinkan gerakan tangan.
Tulang Karpus
Tulang karpus adalah kelompok delapan tulang kecil yang terletak di pergelangan tangan. Mereka terdiri dari dua baris, yakni baris proksimal dan baris distal. Baris proksimal terdiri dari tulang skafoid, lunate, triquetrum, dan pisiform, sementara baris distal terdiri dari tulang trapezium, trapezoid, capitate, dan hamate.
Fungsi tulang karpus adalah menghubungkan tulang panjang lengan bawah (radius dan ulna) dengan tulang metakarpus yang membentang di sepanjang telapak tangan. Ini membentuk kerangka dasar pergelangan tangan dan memungkinkan pergerakan dan fleksibilitas.
Selain itu, tulang karpus juga memiliki peran penting dalam menyerap tekanan dan shock yang terjadi selama aktivitas menahan beban atau kejutan. Ini membantu melindungi tulang yang lebih besar dan struktur lain di lengan.
Tulang Metakarpus
Tulang metakarpus adalah kelompok lima tulang yang membentang dari tulang karpus hingga tulang falang dalam jari-jari tangan. Mereka dinomori dari I hingga V, dengan Metakarpus I berada di bawah ibu jari dan seterusnya hingga Metakarpus V yang berada di bawah jari kelingking.
Setiap tulang metakarpus terdiri dari tiga bagian, yaitu basis, tengah, dan kepala. Kepala tulang metakarpus memiliki bentuk bulat dan terletak di telapak tangan, membentuk buku jari.
Fungsi utama tulang metakarpus adalah sebagai jembatan antara tulang karpus dan tulang falang, membentuk kerangka tangan. Mereka juga berperan dalam menjaga keseimbangan dan memungkinkan gerakan dan fleksibilitas pada jari dan tangan.
Tulang Falang (Tulang Jari)
Tulang falang adalah tulang panjang yang membentuk jari-jari pada tangan. Masing-masing jari (kecuali ibu jari) terdiri dari tiga bagian: falang proksimal, falang tengah, dan falang distal. Ibu jari hanya memiliki falang proksimal dan falang distal.
Fungsi utama tulang falang adalah memberikan kerangka pada jari dan memungkinkan gerakan dan fleksibilitas jari-jari tangan. Mereka memungkinkan kita untuk meraih, menggenggam, dan melakukan berbagai aktivitas sehari-hari.
Seluruh rangka tangan, termasuk tulang karpus, metakarpus, dan tulang falang, bekerja sama untuk memberikan fleksibilitas dan dukungan saat kita menggunakan tangan dalam berbagai aktivitas. Pemahaman tentang anatomi dan fungsi ini penting dalam pengobatan cedera, diagnosa gangguan, dan perawatan tangan secara umum.
Advertisement
Fungsi Tulang Telapak Tangan
Tulang telapak tangan, yang terdiri dari tulang karpus (carpal bones), tulang metakarpus (metacarpal bones), dan tulang falang (phalanges), memainkan berbagai fungsi yang penting dalam menjalani kehidupan sehari-hari. Berikut adalah penjelasan lengkap tentang fungsi tulang telapak tangan:
1. Dukungan Struktural
Tulang telapak tangan menyediakan kerangka utama tangan dan pergelangan tangan. Mereka membentuk dasar yang kuat untuk seluruh tangan, memungkinkan untuk berdiri tegak dan menjaga bentuk tangan.
2. Mobilitas
Tulang metakarpus dan falang memungkinkan gerakan jari-jari tangan dan fleksibilitas yang diperlukan untuk berbagai tugas sehari-hari. Ini termasuk kemampuan untuk meraih, menggenggam, memegang, dan menggunakan alat atau objek.
3. Manipulasi Halus
Fungsi tulang telapak tangan sangat penting dalam melakukan tugas-tugas yang memerlukan koordinasi dan manipulasi halus, seperti menulis, menggambar, mengetik, dan bermain alat musik.
4. Stabilitas
Tulang karpus membentuk pergelangan tangan dan berperan dalam memberikan stabilitas saat melakukan aktivitas yang melibatkan beban, seperti mengangkat atau membawa benda-benda berat.
5. Sensorik
Tulang telapak tangan juga berperan dalam sensasi dan persepsi sensorik. Mereka memiliki saraf-saraf yang mendeteksi sentuhan, tekanan, dan suhu, memungkinkan kita untuk merasakan dunia sekitar dan meresponsnya.
6. Gerakan Jari
Tulang falang (phalanges) memungkinkan gerakan jari-jari tangan. Setiap jari memiliki tiga tulang falang (kecuali ibu jari yang memiliki dua), memungkinkan gerakan fleksion dan ekstensi pada setiap sendi jari.
7. Fleksibilitas
Kombinasi dari tulang karpus, tulang metakarpus, dan tulang falang memungkinkan tangan untuk menyesuaikan bentuk dan ukuran objek yang dipegang. Inilah yang memungkinkan kita untuk menggenggam berbagai benda dengan berbagai bentuk dan ukuran.
8. Pertahanan dan Perlindungan
Tulang telapak tangan juga berfungsi sebagai pertahanan dan perlindungan terhadap cedera pada tulang, sendi, ligamen, dan saraf yang ada dalam tangan. Mereka membantu meredam tekanan dan dampak selama kegiatan sehari-hari.
9. Aktivitas Fisik dan Olahraga
Dalam aktivitas fisik, olahraga, dan seni bela diri, tulang telapak tangan memainkan peran penting dalam memungkinkan gerakan dan koordinasi yang diperlukan untuk bermain alat musik, bermain bola, menari, dan berbagai kegiatan lainnya.
10. Penting dalam Pekerjaan dan Profesi
Bagi banyak orang, fungsi tangan dan tulang telapak tangan khususnya adalah kunci dalam menjalankan pekerjaan dan profesi tertentu, seperti ahli bedah, pemain musik, pemahat, dan berbagai pekerjaan yang memerlukan ketelitian dan manipulasi halus.
Pemahaman tentang fungsi tulang telapak tangan penting dalam menjaga kesehatan tangan, mencegah cedera, merawat gangguan, dan menjalankan berbagai aktivitas sehari-hari. Dalam dunia medis, ini juga penting dalam diagnosis dan perawatan cedera atau gangguan tangan.
Gangguan yang Mungkin Terjadi pada Tulang Telapak Tangan
Seperti yang telah dijelaskan sebelumnya, bahwa pemahaman terhadap fungsi tulang telapak tangan dapat membantu kita untuk mengatasi jika telapak tangan terdapat gangguan. Ada beberapa kemungkinan gangguan yang bisa terjadi pada telapak tangan, antara lain adalah sebagai berikut:
1. Fraktur Skafoid Pada Tulang Karpus
Fraktur tulang skafoid sering disebabkan oleh trauma, khususnya jatuh dengan tangan terulur, yang menempatkan tekanan pada tulang skafoid. Gejala yang umum terkait dengan fraktur skafoid meliputi rasa nyeri, pembengkakan, dan terasa empuk saat disentuh.
Fraktur skafoid dapat meningkatkan risiko nekrosis avaskular, yaitu kondisi di mana tulang mengalami kematian karena kurangnya aliran darah ke daerah tulang yang patah. Pasien yang mengalami fraktur skafoid juga dapat mengembangkan osteoarthritis di pergelangan tangan pada masa mendatang.
2. Fraktur Pada Tulang Metakarpus
Gangguan fraktur pada tulang metakarpus dapat dibedakan menjadi dua, yakni sebagai berikut:
- Fraktur Boxer: Terjadi pada leher metakarpus kelima (jari kelingking dan jari manis) dan sering disebabkan oleh memukul benda keras dengan tangan terkepal. Pemendekan jari yang terkena bisa terjadi akibat pergeseran pada bagian distal.
- Fraktur Bennett: Fraktur ini melibatkan tulang metakarpus pertama dan sering disebabkan oleh hiperabduksi paksa ibu jari. Ini dapat mengakibatkan ketidakstabilan dan subluksasi (dislokasi parsial) pada sendi ibu jari.
3. Deformitas Tangan (Kongenital)
Deformitas tangan adalah kelainan bentuk tangan atau jari yang terjadi sejak lahir (kongenital). Ini bisa mencakup berbagai tingkat keparahan, mulai dari deformitas minor hingga ketiadaan tulang.
Pengelolaan deformitas tangan kongenital melibatkan konsultasi dengan dokter ahli bedah tulang dan tim medis yang spesialis dalam perawatan kondisi ini. Perawatan mungkin mencakup pembedahan untuk memperbaiki deformitas yang signifikan.
Penting untuk mendapatkan perawatan medis yang tepat jika Anda mengalami cedera atau gangguan pada tulang telapak tangan. Dokter atau spesialis medis akan melakukan pemeriksaan, diagnosis, dan merancang rencana perawatan yang sesuai untuk mengatasi masalah tersebut. Kecepatan dalam mendapatkan perawatan yang sesuai dapat membantu mencegah komplikasi lebih lanjut dan memfasilitasi pemulihan yang optimal.
Advertisement
Cara Menjaga Kesehatan Tulang Telapak Tangan
Menjaga kesehatan tulang telapak tangan sangat penting untuk memastikan bahwa tangan Anda tetap berfungsi dengan baik. Tulang-tulang telapak tangan adalah bagian penting dari kerangka tangan dan memainkan peran kunci dalam berbagai aktivitas sehari-hari. Berikut adalah beberapa langkah yang dapat Anda ambil untuk menjaga kesehatan tulang telapak tangan:
1. Konsumsi Makanan Sehat
Pastikan diet Anda kaya akan kalsium dan vitamin D. Kalsium adalah mineral penting untuk kesehatan tulang, sementara vitamin D membantu tubuh dalam menyerap kalsium. Produk susu, sayuran berdaun hijau, dan ikan salmon adalah beberapa sumber yang baik.
2. Hindari Merokok dan Konsumsi Alkohol yang Berlebihan
Merokok dapat mengurangi aliran darah ke tulang dan merusak jaringan tulang. Konsumsi alkohol yang berlebihan juga dapat merusak jaringan tulang. Hindari atau kurangi kedua kebiasaan ini.
3. Aktivitas Fisik dan Olahraga
Melakukan latihan fisik yang melibatkan pergelangan tangan dan tangan secara umum dapat membantu menjaga kekuatan dan fleksibilitas tangan. Olahraga seperti yoga, pilates, atau latihan kekuatan tangan dapat bermanfaat.
4. Kenakan Perlindungan saat Beraktivitas Berisiko Tinggi
Jika Anda berpartisipasi dalam aktivitas berisiko tinggi yang melibatkan tangan, seperti bermain olahraga kontak atau melakukan pekerjaan konstruksi, kenakan peralatan pelindung seperti sarung tangan khusus atau pelindung pergelangan tangan untuk menghindari cedera.
5. Hindari Pemakaian Berlebihan dan Tekanan Berulang
Hindari melakukan aktivitas yang memerlukan pemakaian berlebihan atau tekanan berulang pada tangan Anda. Jika Anda melakukan pekerjaan atau hobi yang melibatkan gerakan berulang, istirahatkan tangan secara teratur dan pertimbangkan penggunaan peralatan bantu jika memungkinkan.
6. Gunakan Teknik yang Benar saat Mengangkat Beban
Saat mengangkat benda berat, pastikan Anda menggunakan teknik yang benar. Angkat dengan punggung lurus dan tangan di bawah benda, bukan dengan pergelangan tangan yang tertekuk.
7. Lakukan Pemanasan dan Peregangan
Sebelum melakukan aktivitas fisik yang memerlukan tangan, lakukan pemanasan dan peregangan untuk mempersiapkan otot dan sendi tangan. Ini dapat membantu menghindari cedera dan menjaga fleksibilitas.
8. Konsultasikan dengan Profesional Medis
Jika Anda mengalami nyeri atau gejala yang terkait dengan kesehatan tulang telapak tangan, seperti pembengkakan, nyeri kronis, atau gangguan gerakan, segera konsultasikan dengan profesional medis. Diagnosis dini dan perawatan yang tepat dapat membantu mencegah masalah yang lebih serius.
9. Perawatan Kesehatan Umum
Selain itu, menjaga kesehatan umum tubuh Anda dengan menghindari penyakit yang dapat memengaruhi kesehatan tulang, seperti osteoporosis, melalui pola hidup sehat, asupan nutrisi yang baik, dan pemeriksaan medis berkala.
Jaga kesehatan tulang telapak tangan Anda dengan menjalani gaya hidup sehat, melakukan perawatan pencegahan, dan berhati-hati dalam aktivitas sehari-hari. Dengan perawatan yang baik, Anda dapat menjaga kesehatan tulang telapak tangan dan menjaga kemampuan tangan Anda untuk berfungsi dengan baik.
:strip_icc()/kly-media-production/medias/5445749/original/021618200_1765863815-3.jpg)
:strip_icc()/kly-media-production/medias/5420495/original/039273300_1763787746-Cara_Daftar_Internet_Rakyat_01.jpeg)
:strip_icc()/kly-media-production/medias/4454457/original/061941000_1686013068-Penyambutan-Jemaah-di-Mekkah-010623-wpa-8.jpg)
:strip_icc()/kly-media-production/medias/5362279/original/049979300_1758858871-Cek_Fakta_Tidak_Benar_Ini_Link_Pendaftaran__75_.jpg)
:strip_icc()/kly-media-production/medias/4611640/original/025012000_1697415291-pexels-pixabay-207496.jpg)
:strip_icc()/kly-media-production/medias/4611641/original/095660700_1697415295-pexels-tima-miroshnichenko-5427652.jpg)
:strip_icc()/kly-media-production/medias/4364038/original/098789900_1679231442-Cover_Tangan.jpg)
:strip_icc()/kly-media-production/medias/3923862/original/016813100_1643951685-shutterstock_1513449836.jpg)