Liputan6.com, Jakarta Bagi setiap wanita yang telah menikah, kehamilan merupakan momen yang paling ditunggu. Tak heran jika membawa kehadiran buah hati menjadi kebahagiaan tersendiri bagi sang calon ibu. Ketika sedang hamil, persiapan yang matang menjadi sebuah keharusan. Ini termasuk rutin menjalani pemeriksaan ke dokter kandungan, serta menjaga pola makan sehat agar sang bayi dalam kandungan tumbuh dengan baik.
Melalui media sosial, seorang wanita Australia berusia 23 tahun membagi kisah kehamilan pertama yang bikin banyak orang takjub. Bagaimana tidak, saat pemeriksaan dirinya diketahui tengah mengandung dua pasang anak kembar identik secara bersamaan. Kejadian yang tengah dialami pasangan baru ini dianggap sangat langka, oleh petugas medis yang menangani.
Advertisement
Menurut penuturan mereka dalam wawancara dengan Caters News, perawat di rumah sakit menyatakan bahwa selama 30 tahun, belum pernah melihat seorang wanita hamil dengan dua pasang kembar identik. Apps kemudian menjadwalkan operasi caesar pada bulan April mendatang.
Berikut ini kisah wanita hamil dua pasang kembar identik yang Liputan6.com rangkum dari Nypost, Minggu (28/1/2024).
Bayi perempuan cantik kembar identik asyik mengobrol sambil tertawa. Kira-kira apa yang mereka bicarakan ya ?
Hamil Dua Pasang Kembar Identik
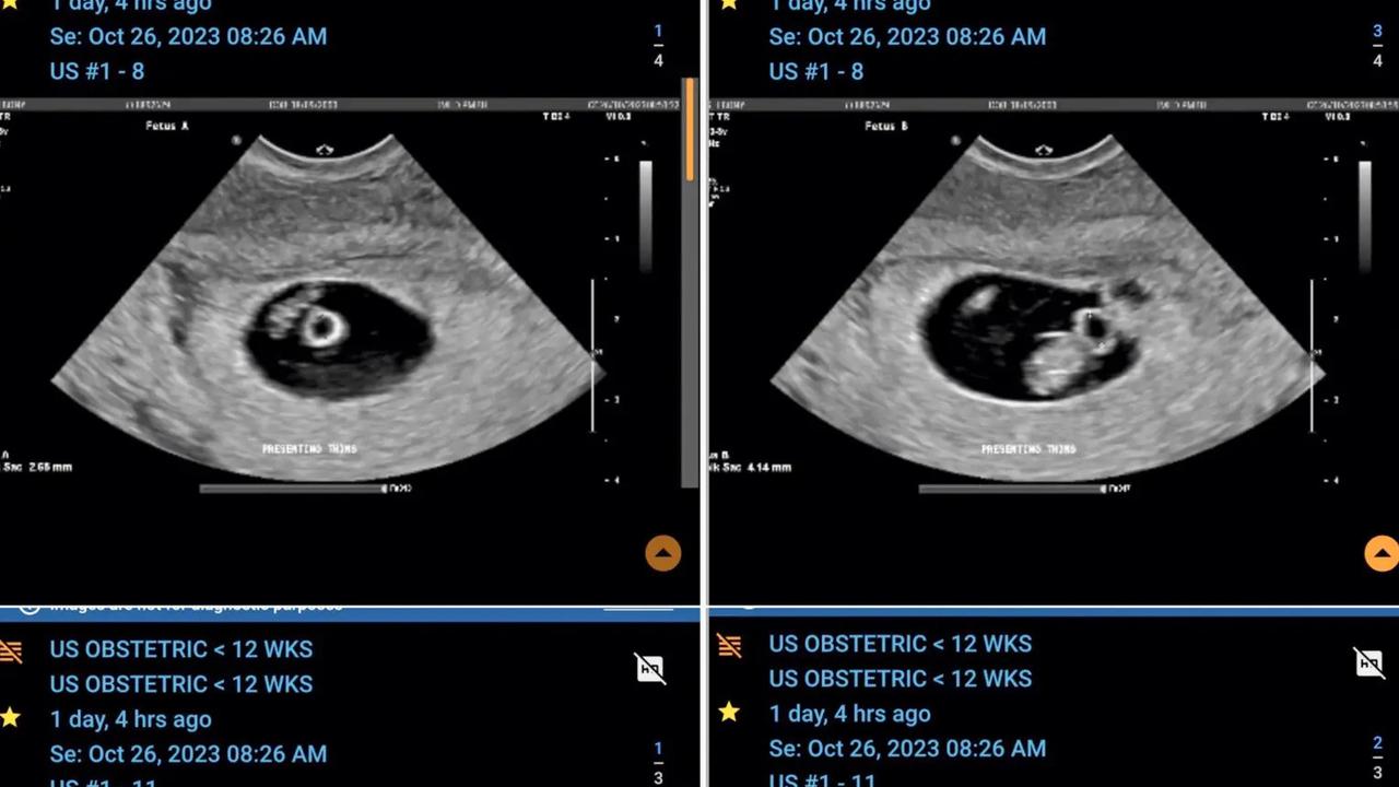
Seorang wanita Australia Ebony App merasa terkejut, setelah mengetahui bahwa dia sedang mengandung dua pasang anak kembar identik pada saat yang bersamaan. Ebony yang berusia 23 tahun dan pasangannya Jayden bersiap menyambut kedatangan empat bayi kembar identik pada bulan April mendatang.
"Dokter kami memberi tahu kami bahwa kehamilan kembar empat terjadi sekitar satu dari 700.000, dan kehamilan dua pasang kembar identik bahkan lebih jarang lagi," ungkap Ebony dalam wawancara dengan Caters News.
Perawat di rumah sakit bahkan mengatakan bahwa kehamilan seperti ini sangat langka, belum pernah ditemui dalam 30 tahun karirnya. Menurut AL.com, kemungkinan kehamilan dengan dua pasang anak kembar identik adalah sekitar 1 dari 70 juta.
Advertisement
Meski Sempat keguguran, Pasangan Ini Siap Sambut 4 Bayi Sekaligus
Pasangan ini awalnya diberitahu, bahwa mereka mengandung anak kembar pada pemindaian pertama di bulan September. Namun, sebulan kemudian dokter menemukan ada dua bayi di setiap kantung, mengindikasikan bahwa Ebony mengandung dua pasang anak kembar identik.
Bagi Ebony yang sebelumnya mengalami dua kali keguguran, berita ini sangat mengejutkan. "Saya hampir pingsan ketika kami mengetahui ada empat orang dan Jayden tidak bisa berkata-kata. Tidak ada yang bisa mempersiapkan Anda untuk berita itu," kenangnya.
Meskipun saat ini tinggal di sebuah apartemen dengan satu kamar tidur, pasangan ini merasa khawatir tentang bagaimana mereka akan menghidupi anak-anak mereka yang akan datang. Namun, mereka telah membuat rencana dan merasa bersyukur bahwa semuanya berjalan dengan baik. Apps menjadwalkan operasi caesar pada bulan April, dan pasangan tersebut berusaha mempersiapkan diri sebaik mungkin untuk menyambut keempat anak kembar mereka.
:strip_icc()/kly-media-production/medias/5432092/original/023061000_1764755999-000_68LG3ET.jpg)
:strip_icc()/kly-media-production/medias/5446208/original/052874300_1765875257-bansos_PKH.jpg)
:strip_icc()/kly-media-production/medias/5414879/original/013942100_1763353456-Cek_Fakta_Tidak_Benar_Ini_Link_Pendaftaran_-_2025-11-17T112409.568.jpg)
:strip_icc()/kly-media-production/medias/5445937/original/036635100_1765868532-dedi_mulyadi.jpg)
:strip_icc()/kly-media-production/medias/4728389/original/077651900_1706427912-WhatsApp_Image_2024-01-28_at_13.50.55__3_.jpeg)
:strip_icc()/kly-media-production/medias/4728390/original/097241000_1706427912-WhatsApp_Image_2024-01-28_at_13.50.55.jpeg)
:strip_icc()/kly-media-production/medias/4728391/original/016881200_1706427913-WhatsApp_Image_2024-01-28_at_13.50.55__2_.jpeg)
:strip_icc()/kly-media-production/medias/5446038/original/003387300_1765871568-Lagidiskon__desktop-mobile__356x469_-_Button_Share.png)
:strip_icc()/kly-media-production/medias/1429293/original/037383000_1481114577-20161207--Laptop-Acer-Seharga-20-Juta-Jakarta-Angga-Yuniar-01.jpg)
:strip_icc()/kly-media-production/medias/5436096/original/000714800_1765162370-pexels-photo-1740919.webp)
:strip_icc()/kly-media-production/medias/4800209/original/049531900_1712900090-shutterstock_2286683503.jpg)
:strip_icc()/kly-media-production/medias/5442113/original/056839600_1765528039-Ilustrasi_smartphone__tablet__dan_laptop.png)
:strip_icc()/kly-media-production/medias/5441514/original/073297500_1765510798-Depositphotos_547538726_L.jpg)
:strip_icc()/kly-media-production/medias/5429431/original/070225500_1764586417-pexels-yankrukov-9072212.jpg)
:strip_icc()/kly-media-production/medias/5434294/original/022663100_1764921813-Depositphotos_209735730_L.jpg)
:strip_icc()/kly-media-production/medias/5424660/original/045643900_1764150556-IMG-20251126-WA0006.jpg)
:strip_icc()/kly-media-production/medias/5429377/original/065579200_1764583822-pexels-shkrabaanthony-5264912.jpg)
:strip_icc()/kly-media-production/medias/5428662/original/071057300_1764557835-Depositphotos_170438662_L.jpg)
:strip_icc()/kly-media-production/medias/5426355/original/026522800_1764302989-Depositphotos_189719384_L.jpg)
:strip_icc()/kly-media-production/medias/5415137/original/055240200_1763361833-pexels-muffinsaurs-1214212.jpg)